100 patients/day on Multiva
beyhekim masthead image


100 patients per day

on one Multiva MRI scanner

 

 

Download this FieldStrength article

我們一直有興趣與您互動

告訴我們該怎麼幫助你

1
選擇您感興趣的領域
2
聯繫方式

FieldStrength MRI magazine

User experiences - November 2015

In a competitive environment Multiva 1.5T addresses the challenges of high productivity
 

Beyhekim MOH Hospital in Konya, Turkey opened in 2007 and its Bay-Tuna Radiology Center currently scans up to over 100 patients a day on its Multiva 1.5T MR system. Even in this remarkably busy environment, Multiva excellently fulfills the hospital’s wide variety of scanning needs. 

mr tuna beyhekim

Erdogan Tuna is general manager of the Bay-Tuna Radiology Center. He has worked in the field of radiology since 2004. His goal is to make his company a leader in the field, while keeping patient comfort, correct diagnosis, effective service and employee satisfaction a top priority.

“Multiva is a compact system that allows us to scan a high number of patients.”

Balancing quality and throughput

 

Erdogan Tuna is general manager of the Bay-Tuna Radiology Center. “We aim to provide our services with uncompromised quality, based on universal standards, and meanwhile also solve clinically complex cases. Our Multiva MR scanner provides us the high productivity we need and allows us to make confident diagnoses using a large range of imaging methods. It fits our company motto ‘high quality radiological care’”, he says.

“With Multiva, we can scan a large number of patients in short time slots, permitting us to adapt to the prevailing healthcare system, which limits reimbursement more and more every day.”

 

graphic 1

100 patients per day – how is that achieved?

 

“On average, we scan about 80 patients per day, but on some days we scan well over 100 patients. The scanner is in use 7 days per week, operated 20 hours per day on week days and 8 hours per day in the weekend,” Mr. Tuna says.

 

“To avoid coil changes we plan examinations of similar anatomies back to back, such as head and spine. Multiva helps us here a lot because coils don’t need to be changed frequently. Moreover, thanks to parallel imaging technology and 16-channel HeadSpineTorso and 8-channel MSK coils we are able to achieve excellent image quality. In this way Multiva helped us to increase both image quality and productivity.”

 

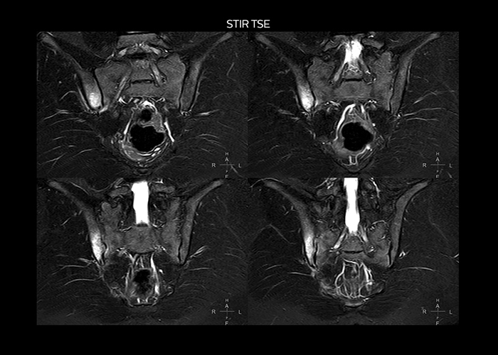
“Neurological cases, such as brain and spine imaging, represent the largest share in our MR scanning, followed by musculoskeletal cases. In general, we use simple and basic imaging protocols. But occasionally, we use advanced techniques for problematic cases if necessary.

Performance now and in the future


“When we were deciding on a new MR system, both our current needs and future trends had to be considered. Good image quality is very important to us, to ensure that we properly satisfy the demands of our clinicians and radiologists, but we still need to scan a very high number of patients per day,” says Mr. Tuna.

 

“The marketing proposition and the feeling of confidence provided by the Philips team convinced us to decide for Multiva. We excluded other alternatives based on either cost or performance of the scanners. Multiva is a compact system that also provides us access to emerging technologies and the opportunity of updating the system continuously.”

Efficient operation and good results


“Efficiency is another big benefit of the Multiva system. Using time slots of just 10 minutes, Multiva provides a good level of cost versus performance ratio,” says Mr. Tuna.

 

“Since we have Multiva, we have improved our workflow, because it has been so easy for our operators to learn and use Multiva. Our operators notice that the coils are lightweight and coils don’t need to be changed frequently. The user interface is easy to use. Features like this help us to scan a high number of patients. For instance, the musculoskeletal coils can be used interchangeably, and due to the user-friendly interface, the number of mistakes such as, for example, correct coil element selection has decreased significantly, because the system does it automatically by itself.”

 

“Most important, Multiva satisfies our clinical imaging needs very well,” says Mr. Tuna. “Many features of Multiva have become similar to the Ingenia system. Even in more complex imaging such as abdominal and cardiac, the image quality and performance of Multiva is better than we expected. General surgeons and physicians from our hospital’s internal medicine department prefer to refer to us because of this.”

“The coils are lightweight and don’t need to be changed frequently.”

“Our workflow has improved, because Multiva has been so easy for our operators to learn and use.”

Administrative challenges


Mr. Tuna has overcome some administrative challenges in the hospital too. “Since we are using an income sharing model, working speed is important to us,” he explains. “However, we also serve in public healthcare and are controlled by the ministry of health in terms of quality, so image quality is also important to us.”


“The hospital currently scans more patients than before, when the imaging was performed off-site. When our imaging site was located elsewhere, demand was limited. But now we are located inside the hospital and our radiology staff observes increased patient satisfaction which has resulted in an increased patient load.”

“Additionally, we work in a competitive environment,” he adds, “but we are fulfilling all the imaging requests in our region. However, because of this strong competition and the need to lower our prices, we are working with a smaller budget.”

With Multiva, these challenges have been overcome. “Because Multiva is easy to use, and there is less need to change coils, we have been able to decrease the length of our time slots. We provide faster imaging to the clinics and scan more patients. With faster scanning our patient satisfaction has improved, and our staff has been very motivated.”

“It’s an excellent multi-purpose scanner that satisfies all our MR imaging requirements in the hospital."

Clearly the right choice

 

“Overall, Multiva provides what we need in term of patient needs and even potential needs,” says Mr. Tuna. “It allows us to scan a high patient volume and image a large variety of anatomies and conditions.”

 

“Our goal is to achieve uncompromising quality based on universal standards, while solving clinically complex cases. Our Multiva scanner allows high productivity with fast imaging time, and allows us to make confident diagnoses in a broad range of cases.”

 

“It’s an excellent multi-purpose scanner that satisfies all our MR imaging requirements in the hospital,” he concludes.

Results from case studies are not predictive of results in other cases. Results in other cases may vary.
Results obtained by this facility may not be typical for other facilities.

This article is not for distribution and use in the USA.

Subscribe to FieldStrength

 

Our periodic FieldStrength MRI newsletter provides you articles on latest trends and insights, MRI best practices, clinical cases, application tips and more. Subscribe now to receive our free FieldStrength MRI newsletter via e-mail.

Stay in touch with Philips MRI

Fieldstrength fs magazine

Stay in touch with Philips MRI

 

Subscribe now

Clinical cases

You are about to visit a Philips global content page

Continue

You are about to visit a Philips global content page

Continue

使用最新版 Microsoft Edge、Google Chrome 或 Firefox 瀏覽本網站效果最佳。