Ingenia 1.5T S MR system
newsitem masthead banner image

 

 

Patient comfort  leads to first-time-right imaging

 

 

 

Download PDF

我們一直有興趣與您互動

告訴我們該怎麼幫助你

1
選擇您感興趣的領域
2
聯繫方式

FieldStrength MRI magazine

News - June 2015

Designed for fast workflow, robust scanning and enhancing the patient’s experience during MRI examinations.

 

The need to repeat even one scan can put you behind schedule, increasing patient wait times and staff overtime. Today more than ever, first-time-right imaging is key. Ingenia 1.5T S delivers fast, robust scanning methods based on dStream digital quality and speed, along with Premium IQ* for more information in the same time slot. With our Patient In-bore Solution we have innovated patient experience during the MRI exam.

Gradual transformation to a new standard

 

Fast and robust capabilities Ingenia S features Premium IQ*, which helps clinicians obtain more information in an available timeslot. This is thanks to up to 40% higher SNR with dStream, increased scanning speed with the high acceleration factors of dS SENSE, motion-corrected imaging with MultiVane XD – even in challenging patients – and superb fat-suppressed imaging with mDIXON.

Patient in-bore experience

 

Philips has brought innovation where it’s most needed: into the bore. Choosing the In-bore Solution allows your patients to design their 

own relaxing scan experience, with immersive visual and audio features that help to calm and relax them for a smooth scan. With ComforTone for noise reduction and AutoVoice to help guide the patient through the scan, the in-bore experience can be successful for patients of virtually any age or condition.

Operators are in control

 

iPatient, a fast and comfortable patient setup, uses integrated and lightweight coils with simple connections to smooth and enhance the scanning process. iPatient also incorporates automated imaging with a personal touch, such as ExamCards, SmartExam and SmartSelect, that allow technologists to spend more time with the patient.

Premium IQ is defined as image quality obtained with dStream compared to Achieva

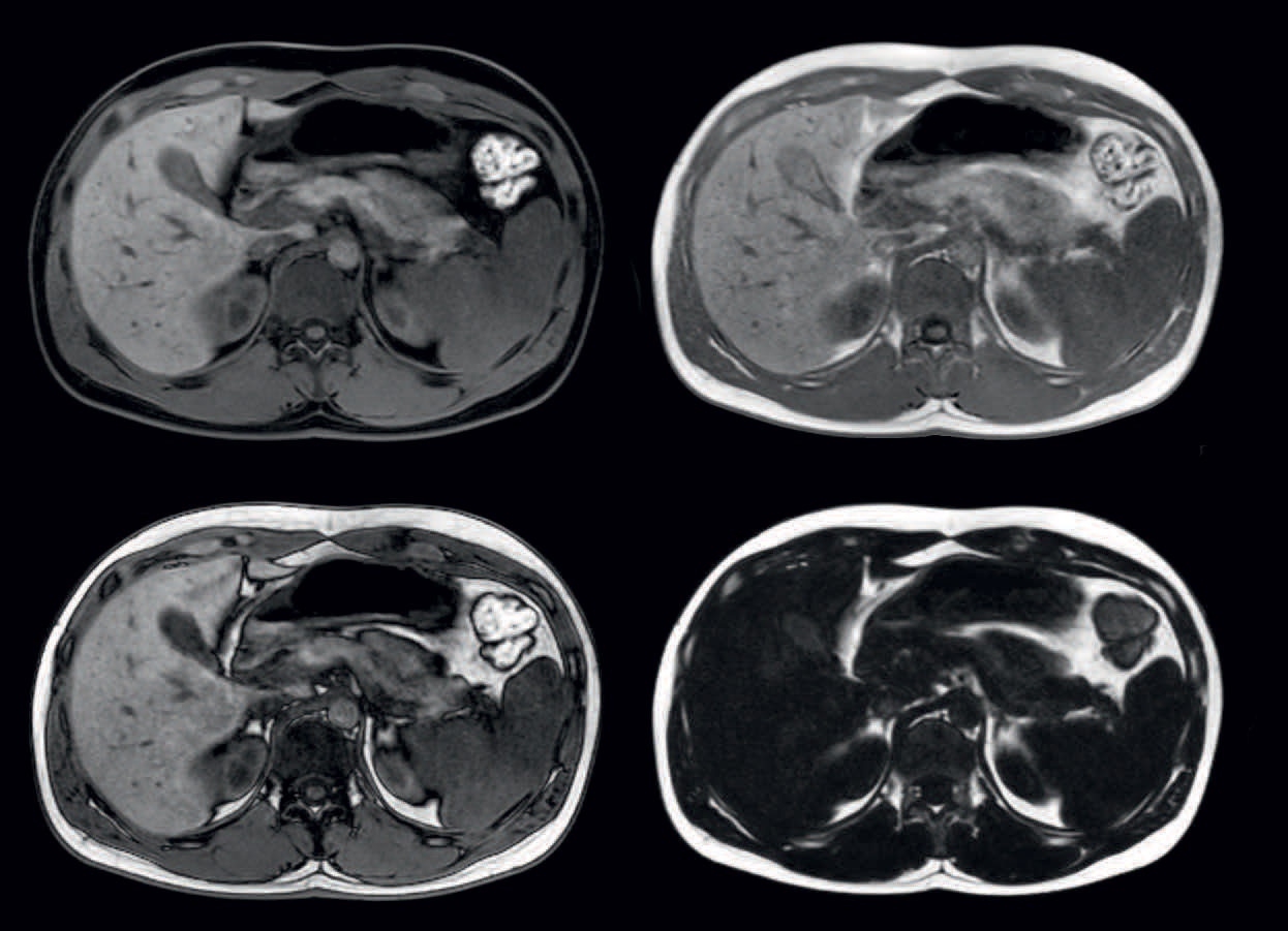
Four different contrasts in one breathhold

 

mDIXON provides four different contrasts in one scan: water, fat, in-phase and out-phase images. Voxels 1.3 x 1.5 x 2.5 mm, high dS SENSE acceleration factor, breathhold 16 seconds.

Clinical images ingenia 15ts MRI system

Subscribe to FieldStrength

 

Our periodic FieldStrength MRI newsletter provides you articles on latest trends and insights, MRI best practices, clinical cases, application tips and more. Subscribe now to receive our free FieldStrength MRI newsletter via e-mail.

Stay in touch with Philips MRI

Fieldstrength fs magazine

Stay in touch with Philips MRI

 

Subscribe now

You are about to visit a Philips global content page

Continue

You are about to visit a Philips global content page

Continue

使用最新版 Microsoft Edge、Google Chrome 或 Firefox 瀏覽本網站效果最佳。