CT Smart Workflow
CT precise suite

Philips CT Smart Workflow

It's not just AI.
It's conquering your daily challenges

    Want to learn more about what CT Smart WorkFlow can do for you?

    Connect with our specialists to find out.

    Discover CT the way it was meant to be

    A low-dose exam with enhanced workflow for results that are fast, consistent and proven. AI powers this dramatic advance, with intelligent automation at every step for you and your patients.1

    Delivers the results
    you're looking for

    Bed icon

    Increase consistency by up to 70% 2
    Positioning consistency from user to user is significantly improved

    Reduce positioning time up

    Reduce positioning time up to 23% 2

    Automatic patient positioning improves patient flow while helping manage radiation dose and image noise

    Heart icon

    Overcome cardiac imaging challenges
    Motion-free cardiac imaging improves image quality at high heart rates

    Result thumbnail

    Delivers the results
    you're looking for

    Bed icon

    Increase consistency by up to 70% 2
    Positioning consistency from user to user is significantly improved

    Reduce positioning time up

    Reduce positioning time up to 23% 2

    Automatic patient positioning improves patient flow while helping manage radiation dose and image noise

    Heart icon

    Overcome cardiac imaging challenges
    Motion-free cardiac imaging improves image quality at high heart rates

    Get the results
    radiologists value

    Health icon

    Enhance diagnostic confidence

    Simultaneously reduces dose and improves image quality to meet your clinical goals

     

    Clock icon

    Reduce reading time

    Advanced reconstruction reduces reading time with enhanced diagnostic confidence

     

    Interventional procedures icon

    Speed interventional procedures

    Quick and precise needle planning, guidance and tracking

     

    Radiologists value

    Get the results
    radiologists value

    Health icon

    Enhance diagnostic confidence

    Simultaneously reduces dose and improves image quality to meet your clinical goals

     

    Clock icon

    Reduce reading time

    Advanced reconstruction reduces reading time with enhanced diagnostic confidence

     

    Reeduce positioning time up

    Speed interventional procedures

    Quick and precise needle planning, guidance and tracking

     

    It's not just AI.
    It's intelligent end-to-end workflow


    See how CT Smart Workflow assists your team at every step

    Precise suite

    Click on the "i" icon to learn more about each CT Smart Workflow advance

    It's not just AI.
    It's intelligent end-to-end workflow


    See how Smart Workflow assists your team with smarter workflow at every step

    Precise suite mobile

    Click on the "i" icon to learn more about each Smart Workflow advance

    Discover CT the way it was meant to be

    Let us show you how CT Smart WorkFlow helps you apply your expertise to the patient, not the process. Connect with our specialists or get a more detailed overview in the brochure.

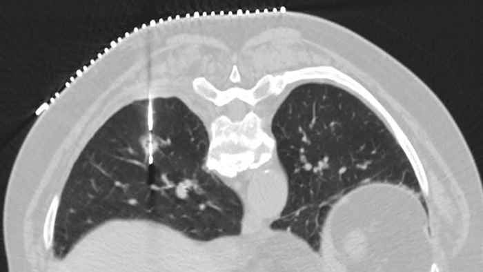
    What happens when low dose and image quality work together

    Experience the image quality that can be achieved with simultaneously up to 80% less dose, up to 85% less noise and up to 60% improved low-contrast detectability.3 Precise Image has a familiar image appearance that closely resembles filtered back projection (FBP). You’ll also see best-in-class low-contrast resolution.

    Without Precise Image With Precise Image

    Slide the bar to compare images without and with Precise Image.

    Download whitepapers

    Precise Position

    Saving time in patient positioning

    Precise Image

    Using deep learning reconstruction

    Precise Intervention

    Advancing interventional CT

    Precise Cardiac

    Compensating for cardiac motion

    Discover more about CT and AI

    Incisive CT product details

    See how Incisive CT helps teams overcome challenges every day

    Philips AI

    Dive deeper into the Philips approach to AI

    Integrating radiology workflows for precision diagnosis

    Addressing your biggest radiology workflow challenges

    1 According to the definition of AI from the EU High-Level Expert Group.
    2 Based on Philips in-house assessment by five clinical experts, comparing manual versus Precise Positioning in 40 clinical cases using a human body phantom.
    3 Lower image noise, improved low-contrast detectability, and/or dose reduction were tested using reference body protocols. All metrics were tested on phantoms. Low-contrast detectability tests were performed using 1.0 mm slices, and tested on the MITA CT IQ Phantom (CCT183, The Phantom Laboratory), using an auto tool “CHO” (Channelized Hotelling Observer). Data on file.

    This content is not intended for a US audience. 

    我們一直有興趣與您互動

    告訴我們該怎麼幫助你

    1
    選擇您感興趣的領域
    2
    聯繫方式

    You are about to visit a Philips global content page

    Continue

    You are about to visit a Philips global content page

    Continue

    使用最新版 Microsoft Edge、Google Chrome 或 Firefox 瀏覽本網站效果最佳。